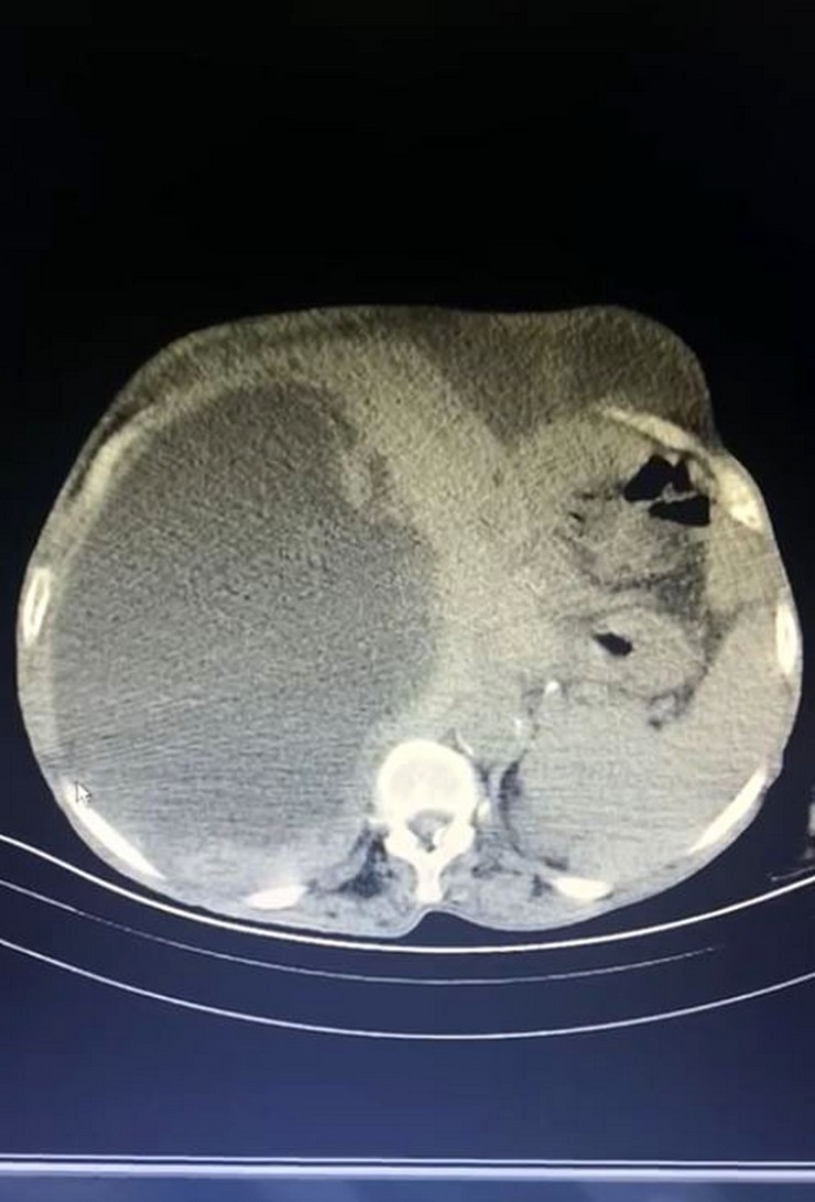
Hastanın karaciğerinden 90 santimetrelik kedi-köpek kisti çıkarıldı
Genel Cerrahi Uzmanı Operatör Dr. İsmet Çelik, kedi ve köpeklerle oluşan kistlerin insanlara bulaşma riskine ilişkin uyarılarda bulunarak, “Dünya literatüründe 90 santimetreye ulaşarak tüm karnı dolduran kist görmedik. Ameliyatımız 2 saat sürdü” dedi.
Çiftçilik yapan Asiye Taşdelen karnındaki şişlik ve ağrı nedeniyle Trabzon Kanuni Eğitim ve Araştırma Hastanesi’ne başvurdu. Taşdelen’e sağlık görevlileri tarafından yapılan muayene ve görüntüleme tetkiklerinde karaciğerinde 90 santimetreye ulaşarak karnını kaplayan 3 ayrı kedi-köpek kisti saptandı. Hasta için ameliyat kararının verilmesiyle 2 saat süren operasyon sonucunda Genel Cerrahi Uzmanı Operatör Dr. İsmet Çelik ve Gastroenteroloji Uzmanı Doç. Dr. Aydın Aktaş tarafından kistlerin 2’si çıkarılırken 1’inin içi boşaltılarak kontrol altına alındı. Dünya literatüründe 90 santimetreye ulaşarak tüm karnı dolduran bir kist ile ilk kez karşılaşıldığını ifade eden Dr. Çelik, kedi-köpek kisti olarak bilinen hastalığın bulaşma yollarını anlattı. Dr. Çelik, genellikle sokak hayvanları ile veteriner kontrolü yapılmayan evcil hayvanların dışkısıyla doğrudan temas veya dışkı bulaşan toprak, su veya yiyecekler yoluyla insan vücuduna geçen parazitlerin bu hastalığa neden olduğunu ifade etti. Dr. Çelik, kistin zamanla karaciğer, akciğer ve diğer organlara yerleşerek ciddi sağlık sorunlarına yol açabileceği konusunda uyarılarda bulundu.
‘TÜM KARNI KİST İLE KAPLIYDI’
Hastanın tüm karnının kistle kaplı olduğunu ifade eden Dr. Çelik, “Trabzon’da Kanuni Eğitim ve Araştırma Hastanesi bir ilke vesile oldu. Hastamız Gümüşhane’den karın şişliği ve ağrısı ile bizlere müracaat etti. Geldiğinde ileri tetkikleri yaparak, tüm karnını dolduran bir kitle ile karşılaştık. Durumu detaylandırınca kistin oluşumunu kedi ve köpekten kaynaklı olduğunu gördük. Hastamızın yandaş hastalıkları vardı. O hastalıkları ekarte edebilmek için ilgili branşlarla birlikte vakayı değerlendirdik. Hastamızın ameliyat olabilirliğini tartıştık. Konsey kararı ile ameliyatına karar verdik. Hastamızın karaciğerinde 3 ayrı kist vardı. Tüm karnı kist ile kaplıydı. 2 tanesinin tamamına çıkardık. Diğerini ise kontrole alarak içini boşalttık. Dünya literatüründe 90 santimetreye ulaşarak tüm karnı dolduran kist görmedik. Ameliyatımız 2 saat sürdü. Hastamızın safra yolları kontrol edildi. Hastamızın durumu gayet iyi. Solunum cihazından bağımsız olarak kendi başına solunum yapabiliyor. Yarın da servise alacağız” dedi.
‘TESADÜFEN FARK EDİLİR’
Dr. İsmet Çelik, insan vücudundaki kedi-köpek kistinin genellikle hayvan dışkısı ya da tüketilen gıdalar yoluyla bulaştığını ve tesadüfen fark edilebileceğini belirterek, “Asiye Hanım, çiftçilik yapan bir ev hanımı. Bu yüzden kedi ve köpekle teması söz konusu. Evcil kedi ve köpek baktıkları için böyle bir şeyin olabileceğini düşünememişler. Bu kist 4-5 yıldan daha fazla bir süreçte oluşmuş. Kistin varlığı, kan testiyle, herhangi bir tarama sırasında ortaya çıkar. Herkeste oluşabilir. Karaciğer başta olmak üzere akciğer ve diğer organlara da bulaşabilir. Bu kist, kedi ve köpeklerin dışkısı ve yediği yiyeceklerle bulaşan bir hastalık. Kedi-köpek kisti, genellikle tesadüfen fark edilir. Karaciğere yerleşir. Bu hastamızda da durum öyle olmuş” dedi.
‘HAYVANLARIN SAĞLIĞINI KONTROL ETTİRMELİLER’
Kedi ve köpeklerle temas eden vatandaşlara uyarılarda bulunan Çelik, “En korktuğumuz şey; alerjik bir durumun olması. 90 santimetrelik kist vücuda yayıldığı zaman alerjik bir durumda hastanın ölümüne sebep olabilmesi. Göremediğimiz yayılımlar için tedbir alıyoruz. Kedi ve köpeklerle temas eden insanlar, o hayvanların sağlıklı olup olmadığı, kedi-köpek kistini taşıyıp taşımadığını kontrol etmelidirler” diye konuştu.







Türkçe karakter kullanılmayan ve büyük harflerle yazılmış yorumlar onaylanmamaktadır.